Toppen! Nu är du prenumerant på Warp News
Härligt! Genomför ditt köp i kassan för full tillgång till Warp News
Varmt välkommen tillbaka! Du är nu inloggad.
Tack! Kolla din inkorg för att aktivera ditt konto.
Klart! Din faktureringsinformation är nu uppdaterad.
Uppdateringen av faktureringsinformationen misslyckades.

❤️ Health Tech

Health Tech, eller digital hälsa, hjälper oss att förstå och ta kontroll över vår egen hälsa. Men vi täcker också mer traditionella hälsonyheter som läkemedel, vacciner och medicinska ingrepp.

Per Söderström 1 min read

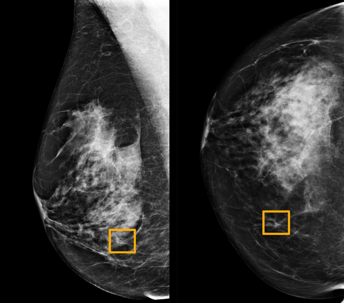
🎗 Artificiell Intelligens ökar träffsäkerheten vid diagnos av bröstcancer

Ett AI-system ger lika bra eller bättre resultat än radiologer vid upptäkt av bröstcancer vid analys av mammogram.

Magnus Aschan 1 min read

📝 AI gör det möjligt för förlamade att skriva med tankekraft

Forskare har nästan fördubblat hastigheten med vilken helt förlamade patienter kan kommunicera med omvärlden.

Per Söderström 1 min read

🔬 Molekyl kan bota cancer i bukspottskörteln på 14 dagar

Molekylen PJ34 gör att cancerceller dör när de delar sig. I försök på råttor var 90% av cancercellerna borta en månad efter avslutad behandling.

Per Söderström 1 min read

💙 Antalet svenskar som dör i hjärtinfarkt har minskat med 56% sedan 2002

Under samma period har antalet personer som fått hjärtinfarkt minskat med 36%.

Björn Arvidsson 1 min read

🥜 Hopp för matallergiker när ny medicin kan förhindra allergisk reaktion

På Stanford har nu en forskargrupp visat i en fas 2-studie hur en ny antikroppsbehandling förhindrat reaktion hos jordnötsallergiker.

Björn Arvidsson 1 min read

🤕 Syntetisk hud förmedlar beröring och ger ett ökat stöd vid rehabilitering

Genom att stimulera huden och samtidigt studera upplevelsen kan vi lära oss fler samband mellan vårt största organ och hjärnans signaler samt hur vi kan simulera dessa för att rehabilitera skador.

Kent Olofsson 1 min read

📱 Ny app ska upptäcka problem med förlossningsdepression och för tidig födsel

Förutom att ge forskarna viktig information ska appen ge mammorna tillgång till en medicinsk kunskapsbank.

Kent Olofsson 1 min read

❤️ Konstgjord dvala ger läkarna timmar istället för minuter att rädda de som fått hjärtstillestånd

Läkare vid University of Maryland School of Medicine har börjat testa metoden på patienter som kommer in med svåra skott-och knivskador och som fått hjärtstillestånd.

Få ett gratis veckobrev med
faktabaserade optimistiska nyheter


Genom att prenumerera bekräftar jag att jag har läst och godkänner personuppgifter och cookies policy.